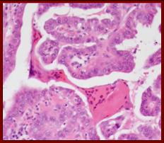
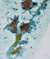
ローピーコロイドによる組織推定
ローピーコロイド ⇒ 乳頭増殖部鋳型 ⇒ 乳頭癌
N
T
C
Noguchi Thyroid Clinic and  Hospital Foundation