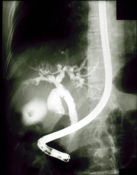
@@ERCPŠŒ©
@@i“ΰŽ‹‹Ύ“I‹ts«δX’_ŠΗ‘’‰ej

ERCP‚ΜŠŒ©‚Ε‚ΝŠΜ“ΰ’_ŠΗ‚Μcystic‚ΘŠg’£Aγ•”’_ŠΗ‚ΜŒ‡‘ΉiƒrƒŠƒ‹ƒrƒ“Œ‹Ξj‚Ζ’_”X“ΰ‚ΙŒ‹Ξ—l‚Μ‰A‰e‚ͺ”F‚ί‚η‚κ‚ιB