<

ホーム 次へ

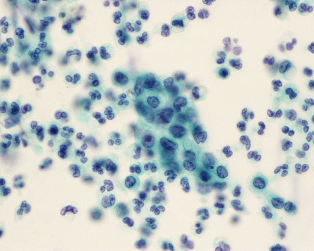
炎症性背景と小型の乳管上皮細胞の小集塊

001