前へ ホーム 次へ

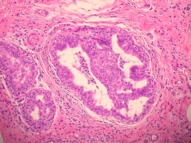
乳菅内の乳頭状の病変部

04