前へ ホーム

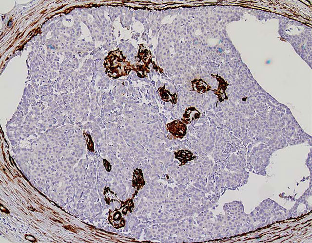
病変部拡大像(α−SMA抗体での免疫染色)

08